52歲的李女士,5年來發生三次腦梗塞,導致右側肢體偏癱,生活不能自理,心臟食道超聲證實了她有個卵圓孔未閉,通俗地形容就是心臟的左右心房之間有個“洞”。
安康市中心醫院心內科沈桂冬主任解釋說,卵圓孔未閉意味著左右心室之間存在一條異常血流通道,也就更容易形成血栓。比如咳嗽、用力屏氣時,右心房的壓力突然增高,血栓就會隨之“亂跑”,從右心房沿著血流進入左心房,隨后來到左心室,再流向腦部,阻塞腦部血管,最終導致腦梗。

那么,這個心臟上的“洞”該怎么“補”呢?

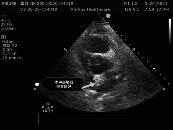
尤其是患者是個三房心,正常的人是有二個心房,這是一種少見的先天性心臟畸形, 如何在三房心把這個洞堵住,而且不影響心臟正常結構,是這個手術難點。沈主任組織全科進行術前討論,5月26日下午5點開始手術,導絲如何在不規則的只有米粒大小的卵圓孔里通過,鞘管如何通過,如何進入卵圓孔連接的副房,避免封堵器夾住隔膜,這些難點在術中被沈主任團隊一一化解,手術歷時二小時,隨著封堵器成功釋放,導管室外響起來熱烈的掌聲。

就這樣三房心合并卵圓孔未閉發生過三次腦梗的患者,在安康市中心醫院心內科導管室成功進行了國內第二例介入封堵手術。

當筆者再次見到患者李女士時,她正在醫務人員的陪同下在樓道里慢走,她已經很久沒有這樣輕松地自己走路了。