在乍暖還寒的4月,古稀之年的楊大爺慕名來到李東波副院長的門診,楊大爺此行的目的是為了解決自己頸動脈狹窄的問題。楊大爺半月前因突發失語伴右側肢體偏癱,于外院造影發現左側頸內動脈起始部重度狹窄,慕名來到我院神經外科門診擬行頸動脈內膜剝脫手術(CEA)。
神經外科腦血管團隊詳細詢問病史和閱片后,建議患者行CEA手術之前,需要再做一個冠狀動脈的CT血管顯像(CTA)。“我是來做腦血管手術的,干嘛還要我做心臟血管的檢查?”患者和家屬有些不解。李院長告訴患者:一、從患者腦血管的片子看,患者腦血管多發斑塊,而心腦血管是相通的;二、患者常年高血壓;三、患者抽煙30余年,這些都是導致血管狹窄的高危因素,因此合并心血管狹窄不能排除,而術后發生急性心梗是CEA手術最嚴重的并發癥之一。
最終在神經外科腦血管團隊的耐心解答下,患者進行了冠脈CTA檢查,不做不知道,一做嚇一跳,患者冠狀動脈左旋支狹窄達90%,如果貿然為患者行CEA手術,那術后患者發生急性心梗的可能性明顯增大。
經我院心、腦血管團隊討論后,遂決定先為患者行冠脈支架植入術(PCI),待病情穩定后轉我科改行頸動脈支架植入術(患者PCI術后需長期服用雙抗,不再適合行CEA手術)。
最終在安康市中心醫院腦血管李東波副院長團隊、心血管沈桂冬主任團隊的共同努力下,患者順利完成了冠脈及頸動脈支架植入手術,手術過程順利,手術效果滿意,術后病情平穩出院,一站式解決了患者的心腦血管問題。
沈桂冬主任團隊正在為患者行PCI術

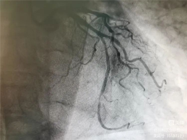
冠脈造影證實左旋支重度狹窄

釋放冠脈球擴支架

支架植入后狹窄完全解除

李東波副院長團隊正在為患者行頸動脈支架植入術

手術過程:指引導管到位

手術過程:球囊擴張后,protege支架到位

術后造影示狹窄解除

團隊介紹
市中心醫院腦血管病治療團隊在李東波副院長的領導下,聯合我院神經內科、神經外科、卒中中心、重癥醫學科、康復醫學科等科室,經過近20年的不懈努力,能夠獨立開展各類腦血管病的介入手術(如腦血管狹窄的支架植入術、顱內急性大血管閉塞的急診取栓術、顱內動脈瘤的介入栓塞術、顱內血管畸形的介入栓塞術、頸動脈海綿竇瘺的介入栓塞術及硬腦(脊)膜動靜脈瘺的介入栓塞術等)和外科手術(如頸動脈內膜剝脫術、顱內動脈瘤夾閉術、顱內動靜脈畸形切除術、硬腦(脊)膜動靜脈瘺的外科治療等),療效顯著,深受廣大患者好評。

市中心醫院心血管科是我市臨床重點學科,成立以來,完成我市心血管介入領域數十項第一例,學科水平處于全省先進,陜南領先水平。
